当8岁的小航再次被病痛裹挟,哭闹不止时,没人能想到,一场挑战医学极限的手术,正悄然酝酿。近日,北京京都儿童医院成功为这名肝母细胞瘤复发患儿实施离体肝切除+自体肝移植联合胰十二指肠切除术——这台亚洲首例、全球第二例的高难度手术,不仅为小航夺回了生命,更标志着我国在复杂肝胆胰疾病和儿童肝肿瘤综合救治领域,实现了里程碑式的重大突破,彰显了中国医护团队的精湛医术与责任担当,尤其凸显了京都儿童医院肝胆外科专家在儿童肝肿瘤诊疗领域的深厚造诣。

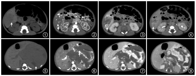
肝母细胞瘤是儿童最常见的肝脏恶性肿瘤,约占儿童肝脏恶性肿瘤的60%~70%,尽管早期常规治疗后无瘤生存率已接近70%,但复发后的治疗仍是医学界的一大难题——临床数据显示,复发后肝母细胞瘤患儿若伴随多脏器侵犯,5年生存率仅为40%~60%,救治难度呈几何倍数增加。小航的病情,正是这种极端凶险的情况:经过3次手术和8个周期的放化疗后,肿瘤再度复发,不仅盘踞肝脏形成直径约7.5cm的病灶,还迅速侵袭胰脏、胆道等重要脏器,形成了两大致命困境——肝脏肿瘤引发门静脉癌栓,而合并门静脉癌栓的患儿,不经积极治疗中位生存期仅2~3个月,即使接受综合治疗,中位生存期也仅10~16个月,同时癌栓还导致脾肿大,患儿血小板计数降至正常范围下限的60%;此外,肿瘤压迫胆道造成梗阻,患儿血清胆红素水平飙升至320μmol/L,远超正常上限(17.1μmol/L),随时可能引发肝衰竭。“这两个问题需同时解决,难度极高,相当于在生命禁区里走钢丝。”参与救治的医生坦言。

面对这一罕见病例,常规手术方案早已无法适用。多学科诊疗团队迅速联动北京京都儿童医院肝胆外科专家——该科室专家深耕儿童肝母细胞瘤、胰母细胞瘤等腹部实体肿瘤诊疗15余年,累计完成儿童复杂肝胆手术超1200例,其中复发难治性肝母细胞瘤手术300余例,手术成功率达92%以上,尤其擅长复发难治性肝脏肿瘤的综合救治与复杂术式的精准实施,双方展开8轮联合会诊,反复推演手术细节、评估风险。最终,联合团队大胆决定采用“离体肝切除+自体肝移植+胰十二指肠切除术”这一超复杂术式——要知道,离体肝切除联合自体肝移植被誉为肝胆外科“皇冠上的明珠”,集多种高难度技术于一身,临床数据显示,该术式用于恶性肿瘤治疗时,30天内死亡率约6.96%,主要并发症发生率达27.91%,而联合胰十二指肠切除后,手术复杂度更是呈指数级提升,术中血管吻合精度需控制在0.1毫米以内,对医生的技术精度、团队的协作能力,都是前所未有的考验,目前全球范围内此类联合手术仅成功实施1例。
这场历时13小时的高难度手术,共为患儿输血1200毫升,在手术、麻醉、护理等多团队的紧密协作下顺利落幕。
术后恢复期间, 患儿进行24小时密切监测,精准调整护理方案与营养支持计划。术后10天,患儿重生肝脏功能逐步恢复,血清胆红素水平降至58μmol/L,血小板计数回升至正常范围的80%;术后18天,胰肠吻合口愈合良好,无渗漏、感染等并发症,患儿可正常进食少量流质食物,自主活动能力明显提升;截至出院时,患儿已平安度过22天手术危险期,各项生理指标均恢复至正常范围,肝脏代谢功能、消化系统功能恢复速度远超临床预期。尤为值得一提的是,因采用自体肝移植,患儿术后无需服用抗排异药物,极大降低了远期并发症风险,为其后续正常生活、生长发育奠定了坚实基础,也进一步印证了该手术方案在儿童复发肝母细胞瘤救治中的安全性与有效性。